一场生命线的接力
北京燕化医院实施一例透析动静脉瘘闭塞介入治疗
年逾花甲的谭老先生身患糖尿病、高血压病、脑梗塞多年,因为并发糖尿病肾病,肾功能逐渐衰竭,4年前因为尿毒症不得不开始透析治疗。透析治疗需要较大的血流量,体表浅静脉达不到透析流量要求,需要穿刺动脉或者深静脉才行,可是反复穿刺动脉和深静脉既不方便也不安全,为了方便每周3次的透析治疗,谭老先生4年前特意做了左侧桡动脉贵要静脉内瘘手术。

上图为正常上肢血管示意图:红色为动脉系统,血流量大,适合透析,但位置深穿刺不方便、风险高。蓝色为体表的浅静脉系统,穿刺方便、风险小,但血流量小不足以透析。
透析所用桡动脉贵要静脉内瘘是在手腕处将桡动脉和贵要静脉切断,直接将桡动脉和贵要静脉近端缝合相通,远端则结扎,这样桡动脉的血流直接汇入贵要静脉,使贵要静脉血流量足以透析,而且穿刺方便、风险也小。如下图

谭老先生这几年一直在家门口的北京燕化医院透析治疗,一直还算顺利。可是上周五早晨一起来,谭老先生左前臂造瘘的地方觉得有点肿痛,再一摸贵要静脉,原来的血管搏动也没有了,谭老先生和老伴心里咯噔一下:不会是动静脉瘘堵塞了吧。
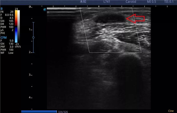
谭老先生和老伴赶到燕化医院一检查,果不其然是桡动脉贵要静脉内瘘闭塞了。如图,超声下闭塞的贵要静脉,完全没有彩色血流。

老两口一下子急了:谭老先生右侧上肢因为脑梗塞后遗症的原因,肌肉都有点萎缩,血管条件也不太好,不适合造瘘,左侧上肢造瘘是他唯一的选择,而谭老先生现在基本没有排尿了,身体内的代谢产物必须通过透析才能排出体外,如果几天不透析的话,体内一些有毒物质堆积,很快就会威胁老先生的生命,这条内瘘血管可以说是谭老先生的生命线。所以当务之急是想办法尽快打通谭老先生的生命线,一场生命线的接力就此在燕化医院展开。
老两口儿找到肿瘤微创介入科陈力强主任,陈主任了解病情后考虑桡动脉贵要静脉内瘘局部有狭窄,导致血栓形成,从而堵塞内瘘,目前血栓形成时间还不太长,可以局麻下穿刺左侧肱动脉,然后插管到左侧桡动脉溶栓,同时球囊扩张狭窄的血管。事不宜迟,谭老先生决定接受介入治疗,刚好时逢周末,陈主任又赶紧联系导管室,导管室一听情况,当即同意加班行急诊介入治疗。
穿刺左侧肱动脉插管后,造影显示(如下图):桡动脉尚通畅,但贵要静脉完全不显影,绿色箭头为闭塞的桡动脉贵要静脉内瘘口,红线为贵要静脉位置。

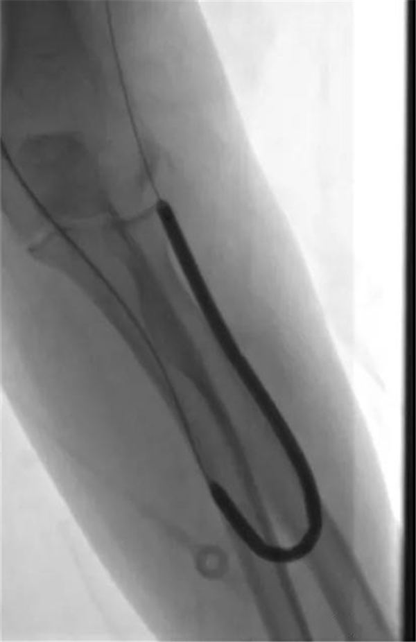
导管通过闭塞的内瘘口插入贵要静脉,造影显示(如下图):贵要静脉远端(绿色镜头)尚通畅,近瘘口端(红色箭头)局部闭塞、内可见大量血栓,经导管缓慢注射尿激酶溶解血栓。

后经球囊扩张内瘘,发现多处血管狭窄,如下图红色箭头所示。

球囊完全扩张后,血管完全通畅,如下图。

术中经溶栓、球囊扩张内瘘后造影显示(如下图):桡动脉贵要静脉内瘘可见少量血流通过,局部仍有血栓及狭窄,陈主任决定将导管留置在桡动脉内,以便进行持续性的泵入尿激酶溶栓治疗。

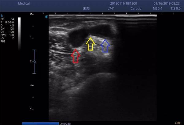
术后超声显示(如下图):桡动脉(红色箭头)血流通畅,贵要静脉(蓝色箭头)内可见少量彩色血流,但仍有大量血栓,而且这点血流量尚不足以进行透析治疗。

经过一天一夜的持续泵入尿激酶溶栓治疗,谭老先生贵要静脉内的血栓完全溶解,血流充盈整个血管、血流量大,完全可以满足透析需求。

虽然超声仍可见桡动脉(红色箭头)、贵要静脉(蓝色箭头)、内瘘口(黄色箭头)存在轻度狭窄↓↓↓,但血流通畅不影响透析。

血管疏通后的谭老先生马不停蹄地赶到透析室,顺利地接受了透析治疗。望着重新畅通的生命线、望着源源不断流入透析机的鲜血、望着忙碌的透析室护士,谭老先生长舒了一口气,和往常一样同周边透析的病友拉起了家常…
北京燕化医院肿瘤微创介入科
北京燕化医院肿瘤微创介入科是2017年最新成立的科室。科室开设床位8张,汇集了众多国内顶尖微创介入专家,提供国内先进的微创介入治疗服务。目前,肿瘤微创介入科已成功开展多例介入手术,为燕房地区老百姓带来福音。
【医疗特色】
1.肝癌、肺癌、乳腺癌、宫颈癌、食道癌、胃癌等全身肿瘤的经导管动脉栓塞化疗;
2.肝、肺、肾、甲状腺、乳腺等全身脏器肿瘤的超声及CT引导下射频治疗;
3.梗阻性黄疸的胆道穿刺引流及支架置入;
4.胆总管结石介入取石;
5.消化道、尿道、气管梗阻的支架置入;
6.空肠营养管、肠梗阻导管置入;
7.经皮胃造瘘;
8.经颈内动脉肝内门腔静脉分流术(TIPS);
9.经皮肝穿胃冠状静脉栓塞止血;
10.脾功能亢进的动脉栓塞治疗;
11.布加综合征介入治疗;
12.肝硬化食管胃静脉曲张出血的内镜治疗;
13.咯血、消化道出血、腹腔脏器出血、妇产科出血的动脉栓塞止血;
14.肝、肾、甲状腺、卵巢囊肿的穿刺引流硬化治疗;
15.肝血管瘤、子宫肌瘤、子宫腺肌症、前列腺增生的动脉栓塞治疗;
16.下腔静脉滤器置入及取出;
17.外周血管狭窄成形及支架置入;
18.外周血管溶栓治疗;
19.全身脏器的穿刺活检;
20.全身脏器脓肿的穿刺引流。
【专家介绍】
陈力强 北京燕化医院肿瘤微创介入科主任,国家卫计委肿瘤微创介入培训专家委员会委员,中国研究型医院学会肝病专业委员会肝纤维化学组委员,华医英诺医生集团专家委员会委员,吴阶平基金会全国肝胆病咨询专家,毕业于第一军医大学,在解放军总医院第七医学中心全军肝病治疗中心从事肝病专业及肿瘤微创介入专业20年,是国内最早的肿瘤射频消融从业者之一,擅长超声介入、放射介入、内镜下治疗。
出诊时间:周一上午、周四上午
出诊地址:北京燕化医院门诊二层外科诊区
咨询电话:010-80345566-1777
撰稿:肿瘤介入科陈力强

京公网安备 11011102001431号
