感谢信后,又收到两面锦旗——一位危急重症患者家属的心声
近日,北京燕化医院神经外科洋溢着温暖与感动,患者陈大伯的家属再一次为神经外科医护团队送来了满怀深情的感谢——两面锦旗,一面是送给以程扬主任为首的医生团队“医德高尚暖人心,医术精湛传四方”,另一面是送米美义护士长所带领的护士团队“白衣天使重责任,护理周到暖人心!”

为什么说是“再一次”呢?因为早在4月份时,患者家属就曾经为神经外科医护团队送来了一封感谢信——

对神经外科这个团队的认可与感谢能够持续四五个月,甚至更长,这源于神经外科医护团队的精湛的医术和精心的护理,给予患者及家属带来了重生的希望。
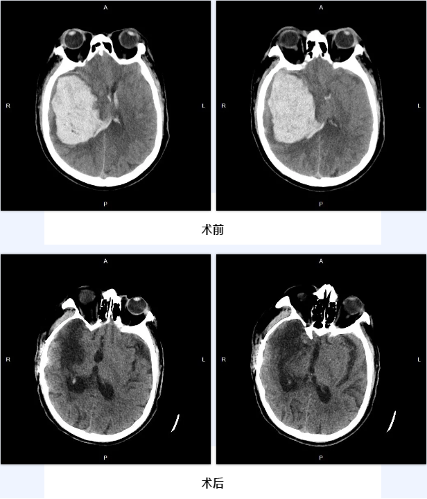
今年3月20日,65岁的陈大伯突发意识不清,呼其不应,并伴有呕吐症状,家人赶紧将其送往北京燕化医院急诊科,经问诊,老人患有高血压十余年,近期未规律服药,考虑高血压脑出血可能大;经头颅CT检查显示,患者右侧基底节区脑出血破入脑室,量较大,约100毫升,中线明显移位,右侧瞳孔已散大、固定,直径4.5mm,光反射消失,呼吸微弱,心律不齐,脑疝形成,病情危重、凶险,需要马上进行手术。
以程扬主任为首的神经外科团队根据影像检查,在认真分析了患者的病情后,经过综合评估,决定立即为患者施行开颅去骨瓣减压手术,对颅内血肿进行清除。
在认真和家属沟通了手术风险及并发症并经家属同意后,经过充分的术前准备,在手术室、麻醉科的密切配合下,程扬主任成功在显微镜联合内镜技术下为患者实施了开颅颅内血肿清除、去骨瓣减压术,历时约2.5个小时,手术顺利结束,且非常成功,血肿清除理想,术后患者原本散大的瞳孔已经缩小,转入ICU进一步对症诊疗。

18天后,陈大伯神志基本清楚,生命体征稳定,安返神经外科病房继续诊治;在米美义护士长的带领下,护士们对陈大伯格外关注,尽职尽责,认真细心,不怕脏不怕累,定时为老人翻身排痰,只为让陈大伯在减轻病痛的同时更舒适一些。

目前,陈大伯已经进一步完成了颅骨修补手术,拔除了气切管、胃管,已能独立经嘴进食,而且自己也能独立端坐了,为了达到更好的治疗效果,陈大伯在燕化医院医护团队的精心照料下,正在进一步的康复之中……

脑出血是神经外科常见病、多发病,北京燕化医院神经外科团队在手术治疗方面积累了丰富的诊疗经验,并根据病人的具体情况采取差异性治疗手段,取得了良好的效果。
多年来,北京燕化医院神经外科通过熟练开展各种类型的颅脑手术,不仅为各种脑出血、颅脑创伤患者带来了福音,成功抢救了大量急诊患者。同时也在各种颅内肿瘤、脊髓肿瘤手术治疗方面积累了丰富的临床治疗经验,受到广大患者的好评。
以下为患者家属感谢信内容:


撰稿:宣传科冯英

京公网安备 11011102001431号
