北京燕化医院超声科开展检查新项目——经食管超声心动图
2021年9月13日,北京燕化医院超声医学科与神经内科通力合作,首次开展了经食管超声心动图检查,标志着我院超声检查又有了新手段。
48岁的张女士,因突发脑梗入住北京燕化医院神经内科,在神经内科医护团队的及时救治下,张女士脱离了危险。然而,令张女士不解的是,自己没有糖尿病、高血压等慢性病,也没有吸烟、肥胖等不良生活习惯,而且也喜欢户外锻炼,怎么就会得了脑梗呢?
为了解除张女士的疑惑,其主治医生黄丽娜开始针对张女士的脑梗进行病因排查,她根据“脑梗死的TOAST分型标准”逐一对张女士进行了大动脉粥样硬化、心源性栓塞、小动脉闭塞、其他原因的缺血等各种易引发脑梗的病因分析。
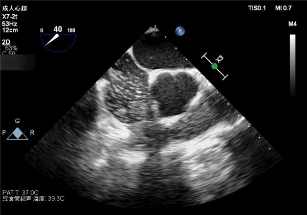
在对张女士做心脏检查时,恰逢我院超声科引进了新项目——经食管超声心动图检查项目。与普通的胸部超声相比,经食道超声心动图是将一个类似胃镜一样的超声探头从口腔经食道放置心脏后方的左心房附近,从心脏后方观察心脏内部病变,避免了胸壁和肺气等因素的干扰,图像质量明显高于胸部超声,效果更好,被誉为探查心脏的“火眼金睛”。

在了解了张女士的详细情况并对其心功能进行评估后,超声科专家为其确定了检查方案。超声医学科和神经内科医护人员协同配合,专家王彩荣主任医师亲自为其实施经食道超声心动图检查。神经内科护士长乔红艳以及其他医护人员辅助安慰患者,两科室默契配合,完美互动,成功为患者实施经食道超声心动图检查,整个过程用时不到5分钟,同时进行的发泡实验可检查患者是否存在因心脏卵圆孔未闭的不明原因脑梗死,检查中患者血压平稳,检查后无明显不适。

超声科主任何欣介绍说,经食道超声心动图检查主要是针对一些可能存在心血管病变的患者,这位患者也是为了查找脑梗的病因是否与心脏病变有关,经食管超声心动图检查,可发现冠脉病变、心脏内肿物以及血栓的形成,先心病、主动脉瓣疾病、瓣膜病等;对人工瓣膜置换术后期的功能评价和判断感染性心内膜炎的赘生物,发现瓣叶破坏以及脓肿形成,优于经胸检查;对心脏及非心脏手术的术中监护有很大作用,具有安全性高、时间短、准确度高等优点。

专家介绍——王彩荣

王彩荣,主任医师,首都医科大学附属宣武医院心脏科彩超室主任,每周一上午在北京燕化医院坐诊。
多年来在临床工作中积累了丰富的超声心动检查、诊断经验,具有较高的诊断水平,尤其对复杂的先天性心脏病、联合瓣膜病及少见心脏病等疑难重症心脏病的诊断有独到的检查手法和见解。多年来在临床工作中积累了丰富的超声心动检查、诊断经验,尤其对复杂的先天性心脏病、联合瓣膜病及少见心脏病等疑难重症心脏病的诊断有独到的检查手法和见解。对心脏外科病人手术前的诊断与心功能的评估和手术后心脏的评估,介入治疗的筛查及术中监护,院内外重要病人心脏超声检查和会诊等提供重要的诊断意见。作为本学科的学术带头人近年又开展了胎儿超声心动图筛查先天性心脏复杂畸形、经食管超声检查左心耳血栓及卵圆孔未闭、组织多普勒和三维超声、术中超声心脏监测等新技术。
中国超声医学工程学会理事、中国超声医学工程学会超声心动图委员会委员、中国超声医学杂志编委、北京超声学会理事、北京医师协会专家委员会心脏组专家。
撰稿:宣传科冯英

京公网安备 11011102001431号
