“声光并茂”——准分子激光销蚀术成功治疗桥血管病变
近日,北京燕化医院心内科介入团队成功应用准分子激光冠脉消蚀术(ELCA)为一名复杂冠状动脉桥血管病变患者进行了精准介入治疗,标志着我院心血管内科处置复杂冠状动脉病变水平迈上了一个新台阶。

家住燕山的马大叔,今年74岁,既往有高血压、高脂血症病史,7年前,确诊为“急性下壁、右室心肌梗死”,择期行冠脉造影检查发现前降支90%狭窄,回旋支90%,右冠状动脉100%闭塞,行冠脉搭桥治疗。但近1月来反复出现胸痛,不能耐受日常体力活动,我们再次为其行冠脉造影发现右冠状动脉100%闭塞,右冠桥血管近端狭窄80%,可见大量血栓。也就是说,此次引起马大叔反复胸痛的主要血管是右冠状动脉桥血管,虽然7年前搭的桥还在,但是桥已经重度狭窄。那么,问题来了,是开通原血管还是开通桥血管?如何决策是一个艰难的选择。
由于冠状动脉搭桥术后静脉桥血管开口位置异常,“桥”支架难度极大,而且静脉桥的主要特点是富含脂质和血栓的易碎斑块,极易出现血栓、急性闭塞和穿孔,一旦出现无复流并发症,将危及性命。
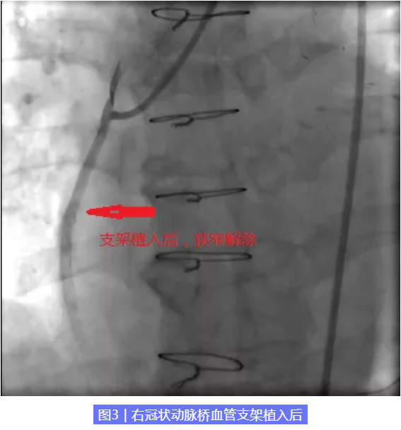
经我院特聘专家北京阜外医院张海涛主任、北京燕化医院心内科李钢主任和王志勇副主任医师全面、综合评估患者病情及血管情况,考虑患者靶病变为桥血管,建议优先解决桥血管病变。经医院心内科介入团队审慎讨论并征得患者同意后,考虑到患者桥血管内存在大量血栓,极易出现无复流现象,决定对患者右冠桥血管行准分子激光销蚀术。一个多小时后,我们成功在患者右冠桥血管狭窄处植入一枚支架,术后患者胸痛症状缓解。

科普:准分子激光冠状动脉成形术(ELCA技术)
准分子激光冠脉消蚀术采用波长为308nm的激光,作为一种冷激光在人体血液的吸收非常少,而在组织中吸收强。ELCA技术主要通过光化学效应、光热效应和光机械效应三种原理达到治疗效果,即通过发出高能量脉冲引起细胞的碳键断裂,释放的能量使细胞内水温升高致组织汽化产生压力,通过迅速膨胀和收缩导致组织的崩解,消蚀斑块物质,达到改善冠脉血流的效果。消蚀产生的副产品是水、气体和微小物质(直径小于10μm,相当于两个白细胞),避免了血管内栓塞的发生,所以ELCA不易引起无复流及围术期心肌梗死等并发症。
ELCA技术通过消蚀病变血管内斑块,适用于复杂性日益增加的冠状动脉介入手术,可以用于处理支架内再狭窄病变,静脉桥血管病变,血栓病变,球囊不能通过的钙化病变,急性心梗血栓病变和冠状动脉慢性完全闭塞病变(CTO)等。
准分子激光冠脉消蚀术,其直接碎化病变血管斑块的功能被广泛应用于临床冠脉复杂病变的处理。随着介入医师的治疗水平提高,推广ELCA这一技术的安全有效应用,将使难以进行常规冠状动脉介入手术治疗的复杂病变患者最终获益。





撰稿:心内科王志勇

京公网安备 11011102001431号
