“有介入无植入”——北京燕化医院介入团队成功完成第一例生物可吸收支架植入
日前,北京燕化医院心内科介入团队成功完成第一例生物可吸收支架植入,这种新型的心脏支架可在术后二到三年内降解,让很多对金属支架充满心理障碍的患者看到新希望。

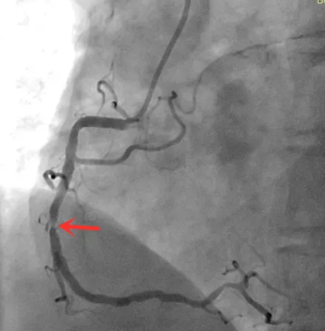
1个月前,家住燕山的张先生突然出现活动后胸痛、胸闷的症状,停止活动后上述症状又自行缓解,起初,张先生并未在意,但随着胸痛胸闷发作得越来越频繁,张先生觉得自己心脏可能出问题了,于是张先生选择来我院就诊,在行冠脉造影检查后发现张先生右冠状动脉中段狭窄80-90%,需要植入支架。
张先生和家人一时间无法接受病情的严重程度,年纪轻轻就需要在身体里植入金属支架,他们心存恐惧。在经阜外医院专家和心内科介入团队商议后,考虑到张先生对金属支架心存恐惧,结合其病情和造影结果,决定为其植入新型的生物可吸收支架。
目前临床使用的支架多为第三代金属药物支架。它的主要材料是钴铬合金、不锈钢。这些材料的支撑性能、柔顺性比较好,可以把血管的狭窄支撑起来,同时能释放抗增殖药物,防止支架里面堵塞,被广泛应用于临床。而这种新型的生物可吸收支架除了具备金属支架的优点外,在植入人体后,经过血运重建、支架降解吸收和血管修复三个阶段,在三年内,整个支架就可以完全降解为水和二氧化碳,体内不再有异物,血管的结构和功能也得到恢复,实现血管再造的目标。这一优势,给很多年轻患者提供了一个新的选择,让他们对未来更有信心。

图 | 生物可降解支架
在了解了这种新型可吸收支架后,张先生和家人决定使用这种新型的生物可吸收支架。于是心内科主任李钢和王志勇、鞠静两位医生共同为患者实施了介入手术。在确定好狭窄位置后,他们娴熟地将生物可吸收支架精准输送到病变部位,成功完成北京燕化医院首例生物可吸收支架的植入。

图 | 造影显示:右冠状动脉中段狭窄80-90%

图 | 植入生物可降解支架后的右冠状动脉
专业解读
生物可吸收支架被誉为“冠脉介入治疗第四次革命”,一直是近年来行业科研攻关的重点项目。该支架的特点在于基体及药物载体涂层均由生物可吸收材料制成,在植入人体,经过血运重建、支架降解吸收和血管修复三个阶段后,3年左右可被人体吸收,血管弹性舒缩功能恢复,实现血管再造。同时,生物可吸收支架术后即可进行核磁共振检查,避免了金属支架的弊端。这是继金属支架“血管再通”后心血管治疗领域的又一次革命,是PCI技术的又一个里程碑。临床随访数据表明,生物可吸收支架的远期安全性远好于国际同类支架;与金属药物支架相比,在血运重建和安全性方面无统计学差异,但支架降解后患者血管基本恢复至原位血管的弹性,表现出统计学优效。
撰稿:心内科王志勇

京公网安备 11011102001431号
