生死鬼门关——“肿瘤科医生变身孙悟空深入地府四次将我扯回人间”
春风和煦,宽敞明亮的走廊内,美小护如常忙碌的身影穿梭整个病房,一片祥和,而就在前不久,一位病房内我们熟悉的胃部恶性淋巴瘤患者老杨才刚经历了人生的起起伏伏,挑战了人类生存的极限,从此开启了新的人生。
人生路上需披荆斩棘,砥砺前行,就好像游戏中的打怪兽,源源不断升级才能走到胜利。
初见老杨,男,79岁,脸色苍白,气若游丝,面色萎靡地坐在轮椅上,一直以来间断腹部不适,既往有20年的糖尿病史,16年的脊髓炎一直双下肢行动不便,冠心病10余年,黄斑病变10年,一直被多种疾病缠绕,于我科恶性淋巴瘤化疗住院治疗,住院期间,老杨经历了人生的一波多折,次次都惊心动魄,终于最后战胜病魔,胜利出院。
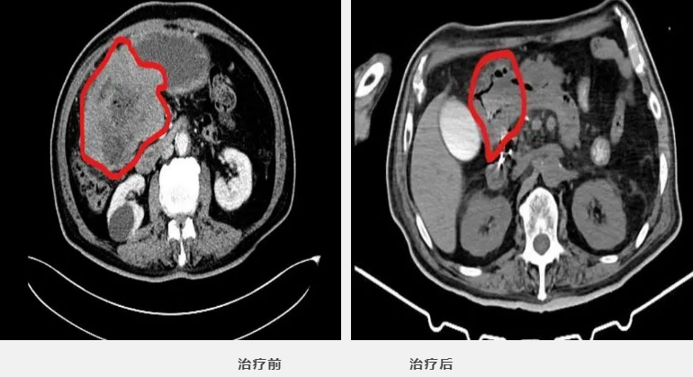
住院第一折:今年1月初,老杨因间断出现上腹部不适,偶有进食后反酸、烧心及隐痛,伴乏力、消瘦,给予胃药效果不佳,2月做胃镜及病理提示:B细胞淋巴瘤,考虑粘膜相关性淋巴瘤,经抗HP治疗2周后症状无缓解,后就诊北京肿瘤医院病理会诊考虑:弥漫大B细胞淋巴瘤。入住肿瘤科,于3月21日积极进行第一周期R-miniCHOP治疗(患者老年,耐受性差),过程非常顺利。化疗用药第一关顺利通过。

住院第二折:3月26日,老杨突发出现呕鲜血,量约500毫升,1天后间断出现黑便,量约600毫升,经给予抑酸、止血、输血等对症治疗后未缓解,于2022年3月30日在介入科会诊后,在DSA下行胃左+胃、十二肠+肠系膜动脉栓塞术,术后出血明显减少,Hb由术前51g/L升至97g/L。经过多学科联合积极治疗,老杨再次渡过消化道出血的难关。
住院第三折:接着4月1日,老杨出现化疗后IV度骨髓抑制(主要表现为粒细胞缺乏和血小板下降)合并发热,体温最高38.5度,科内紧急调整治疗方案,给予亚胺培南抗感染、升白、升血小板等抢救及对症治疗后症状明显好转。老杨再次通过感染关。
住院第四折:天有不测之云,老杨于4月3日无明显原因突然出现转氨酶异常升高伴有心梗三项升高,同时出现高血糖、高钠、低钾血症,患者一般状况差,神志朦胧,经我院MDT讨论,予胰岛素泵入、补液、补钾对症治疗2周后症状再次好转。与此同时,血压就像过山车一下子降低很多,给予对症后症状稳定。紧接着,4月8日老杨间断出现一过性双眼凝视,伴意识丧失、呼吸暂停,每次约数十秒,伴肢体强直,无抽动,偶然血压一过性升高,请神经内科会诊,考虑癫痫发作,给予卡马西平对症治疗后发作次数减少。老杨再次通过了肝功能衰竭、电解质紊乱、不明原因的癫痫等一系列难关。

人生短短数十载,老杨在这短短100余天内无数次与死神擦肩而过,无数次我们深入病窟,在时间紧迫,事态紧急情况下做出迅速有效的诊疗方案,过五关,斩六将,在抗癌以及化疗后出现各种的不可预知性的情况下,我们选择与兄弟科室联手斩杀病魔,并取得超出预期的效果,如今的老杨意气风发,生命体征平稳,并胜利出院,与家人团聚。并由衷感谢医务人员在黑暗中伸出的援助之手,感谢我们在最危急的时刻没有选择放弃,感谢我们一直以来的温暖与鼓励。
在此,肿瘤科要感谢普外科、消化科、ICU、内分泌及其他兄弟科室在该患者救治过程中,给予的大力支持和帮助。愿我们在以后的工作中继续通力合作,共同维护患者的安全。

京公网安备 11011102001431号
