腰椎疼痛的微创手术治疗
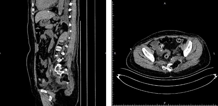
患者韩某,女,49岁,一个多月前,不明原因出现腰骶部疼痛,难以忍受,骶尾部及左侧臀部压痛,左侧臀部及会阴部感觉减弱,口服镇痛药洛索洛芬钠片对症治疗,不见好转,随后就诊于我院,医生查骨盆MRI示:骶椎左侧占位性病变。

经神经外科程主任细致查体,结合患者症状与影像学表现,与王教授制定了详细的手术方案,拟于显微镜下行骶椎左侧占位切除术,术中彻底清除肿瘤以及被侵蚀的骨性组织。术后患者症状明显好转。

近年来,腰椎间盘突出,出现了高发现象,轻体力劳动者之中拥有53%,重体力劳动者中约64%的人出现了腰椎间盘突出,其中约35%的腰疼患者会发展为腰椎间盘突出,因椎间盘突出导致坐骨神经疼痛发病率男性约3.1%,女性约1.3%。
大多数人都被这些疾病所困扰,但是又害怕到医院。到医院除了各种检查就是做手术,手术不仅费用高,后期恢复时间长,许多人对做手术都存在恐惧心里,想着忍过疼痛期就好了。其实这样只会让疼痛越来越严重,甚至到后期不能行动。
随着现代社会发展,我们的医疗水平也在不断的提升。腰椎脊柱疾病的治疗已经可以通过微创手术处理,不仅创口小,见效快,而且费用低,康复周期短。
腰椎间盘突出症也可以通过脊柱内镜进行微创手术治疗;现在北京燕化医院神经外科对颅脑与脊髓脊柱疾病,如:脑肿瘤、脊髓肿瘤、脑血管病、脊髓血管病、脊髓空洞症、腰椎病、腰椎管狭窄、腰椎间盘突出、颈椎病、颈椎间盘突出、颈椎管狭窄等疾病的治疗已经积累了丰富的临床经验,可以准确地对患者进行微创手术治疗,使患者不必再为费用高、术后恢复时间长等因素困扰,使患者早治疗,早轻松,早日摆脱病痛折磨。
撰稿:医疗发展部乔雪岩

京公网安备 11011102001431号
