下沉基层,情“怀”燕山——神经外科知名专家王贵怀坐诊燕化医院
颈椎,胸椎,腰椎,僵麻酸痛,三椎同治。
专业,权威,技术,下沉基层,情“怀”燕山!
为满足燕山地区百姓就医需求,北京燕化医院特聘国内神经外科知名专家——王贵怀教授下沉基层,与我院神经外科联合开展颈椎、胸椎、腰椎疾病手术,为燕山患者送去福音!
患者姜某,女,72岁。腰骶部及左髋部疼痛2年。2年期间,家属带患者转诊老家的多所医院,均未得到有效的根治。患者自诉,每当受凉、劳累时,症状就明显加重;严重时整晚疼痛难忍,靠止疼片度过,睡眠质量极差,本人也因此显得苍老了许多。儿子表示,每次看到母亲的两鬓白发愈发得苍白,看到母亲被病痛折磨得身形消瘦;自己的心里就愈发得不是滋味,于是下定决心:接母亲进京,寻医问诊。
和大多数人一样,家属往返于北京市各大医院之间,找专家进行咨询;可是专家号“一号难求”;好不容易挂上了号,但是又被医院告知,需要等半年后才能进行住院治疗……在得知这个消息后,儿子的心情又再次跌落了低谷。
看到母亲日渐消瘦的身体,儿子没有选择等待,也没有放弃寻医之路……
终于功夫不负有心人,1个月前,儿子通过好友得知北京燕化医院特聘专家——“王贵怀”教授在院出诊。此时家属的心情特别激动,像是看到了雨后彩虹一样,心中又重新燃起了希望!
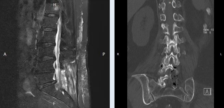
住院后,神经外科程扬主任精心为患者进行细致查体,并完善了腰椎CT及腰椎核磁共振等检查;最终患者被初步诊断为:腰椎间盘突出,继发椎管狭窄。

随后,王贵怀教授与程扬主任制定了详细的手术方案,拟在显微镜下行后路腰4-5扩大椎管减压、神经根管减压术。术程顺利,术中通过彻底磨除腰4、腰5、骶1椎骨左侧椎板,来达到减压效果。术后,困扰患者2年多的症状得到了明显好转。


在出院回访时,患者家属表示:要是早知王贵怀教授在北京燕化医院出诊,就不用辗转多家医院了,也不用为苦苦追求北京市里专家号所苦恼了由衷地感谢王贵怀教授,感谢燕化医院神经外科!
专家介绍

王贵怀,清华大学教授,博士生导师,神经中心主任
【学术任职】
世界华人神经外科协会-脊柱脊髓专业委员会主任委员
中国抗癌协会神经肿瘤学分会-髓脊柱肿瘤学组组长
北京医学会神经外科学分会-脊髓脊柱学组组长
中国医师协会神经外科医师分会-脊髓脊柱专业委员会主任委员
中国医师协会神经外科医师分会常委委员
中国生物材料学会神经修复材料分会副主任委员
【专业特长】
擅长治疗各种颅脑与脊髓脊柱疾病:脑肿瘤、脊髓肿瘤、脑血管病、脊髓血管病、脑外伤、脊髓损伤、脑积水、脊髓空洞症、腰椎病、腰椎管狭窄、腰椎间盘突出、颈椎病、颈椎间盘突出、 颈椎管狭窄、顽固性疼痛。
【出诊安排】
出诊时间:每月第一周、第三周的周一下午
出诊地点:门诊楼二楼外科诊区神经外科门诊
预约电话:010-80345566-5091/5092

京公网安备 11011102001431号
