当冠脉支架遇到外科手术
为了保护隐私,本文中隐去了患者的姓名,称为大妈。
最近这段时间,大妈一家人的心情就如同乘坐过山车一般跌宕起伏。事情的起因是这样的……
几个月以来,大妈时不时地有点咳嗽,开始就以为是感冒了,也没太在意。然而,中药西药吃了不少,咳嗽非但没减轻,偶尔痰里边还会带一点血丝。于是在孩子们苦口婆心加生拉硬拽之下,大妈极不情愿地到医院检查了一下。
胸部CT的结果一出来,一家人都傻了眼。在大妈的右侧肺部长了一个肿块,据呼吸科的大夫说:大概率是肺癌!
这个消息如同一道晴空霹雳,在一家人平静的生活中掀起了滔天的巨浪。然而幸运的是,经过检查,大妈的肿瘤并没有明显转移的迹象,如果能尽早手术,应该能取得非常不错的效果。
就在一家人刚刚看到希望的时候,又一个坏消息让全家人陷入了两难的选择之中。
原来,大妈几年以来就一直有活动后胸闷、气短的症状。自己认为是年龄大了,体力不好造成的,也就没太在意。结果,在这次因为肿瘤就诊的时候,医生敏感地捕捉到了这个信息,结合心电图、心脏彩超等检查的结果,觉得大妈很可能有比较严重的冠心病。这对全麻手术来说,无异于是一颗随时会被引爆的炸弹。
尽快明确并处理心脏疾病,成了摆在大妈一家人面前的当务之急。看到这儿,您可能会说:这好办啊,现在科技这么发达,做个造影,必要的情况下放上支架不就解决问题了吗?大妈的家人开始也是这么想的,可往深了一了解,却完全没有想象的这么简单。
为了说清楚这个问题,在这儿有必要跟您交代一下关于冠状动脉介入治疗和支架的一些知识:冠状动脉介入治疗技术是一位瑞典医生在1977年发明的。那个时候没有支架。造影看到狭窄的部位,就用一个球囊撑一下,撑开后能保证供血,也就能缓解病人的症状。可是,我们的血管是肉长的,有非常好的弹性。所以,有超过一半的患者在扩张以后,会因为血管的弹性回缩出现再狭窄。为了解决这个问题,人们想了好多办法,多数效果都不理想。直到上个世纪80年代,冠脉支架的出现让这个问题得到了极大的缓解。
支架的形状,可以理解为一个由金属网围成的管道,贴附在血管内壁上。靠着金属的支撑,完美地解决了血管弹性回缩的问题。可是,由于在血管内放置了异物,导致血管壁细胞会大量增生,去包裹支架。其结果就是大量的血管壁细胞会顺着支架的网眼长到血管腔里面,使通畅的血管再度堵塞造成支架再狭窄。
支架再狭窄的问题困扰了医学界近20年的时间,在本世纪初,药物涂层支架的出现,让人们看到了解决支架再狭窄的曙光。简单说,就是在金属支架的表明,涂上一层高分子聚合物作为载体,再把能够对抗血管壁细胞增生的药物吸附在上面。药物在血管内缓慢释放,从而让支架再狭窄的发生率从裸金属支架年代的将近30%下降到了8%以内。
然而凡事有一利必有一弊,药物涂层支架虽然能够大大降低支架再狭窄发生的比例,但是因为金属异物长期暴露在血液中,支架内发生血栓的风险也相应地增加了。所以,在植入了药物涂层支架后至少12个月的时间内,要同时服用两种预防血栓形成的药物(医学上称为:双联抗血小板治疗)。
再回到大妈这里,如果直接给大妈放药物涂层支架,就意味着在未来的12个月里,如果做大的外科手术,就要承担很大的出血的风险。如果停用了双联抗血小板治疗,一旦支架内形成血栓,死亡率在50%以上。然而肿瘤不等人啊!看了前面的介绍,您可能会问,如果我们给大妈放个早期的裸金属支架不行吗?
大妈的子女也辗转听说了裸金属支架,于是托朋友咨询了北京市内几家大医院,得到的答复都是:裸金属支架目前临床上已经基本淘汰了,换句话说就是没有。
就在一家人一筹莫展之际,大妈的孩子抱着试试看的心理,来到北京燕化咨询了心内科的李钢主任。李钢主任了解到大妈的情况后,告诉大妈的家属,虽然目前我们也没有裸金属支架,但是有一种比裸金属支架更好的选择——BioFreedom无聚合物载体药物涂层支架。植入这种支架后,双联抗血小板治疗的时间可以由以往的一年缩短至一个月。
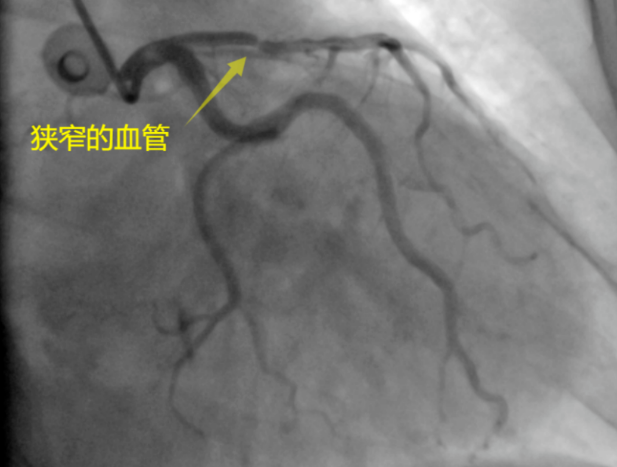
之后,大妈在燕化医院心内科进行了冠状动脉造影检查,发现她的三根冠状动脉中,有一根已经堵塞了95%。李钢主任亲自上阵,顺利地为大妈植入了“BioFreedom无聚合物载体药物涂层支架”。至此,笼罩在大妈一家困扰如风中的薄雾一般烟消云散了。



知识小链接
“BioFreedom”新型“无涂层药物支架”的出现,因其采用无聚合物载药技术,直接搭载有效的BA9抗增殖药物的独特设计特点,可使药物在28天完成释放后成为裸金属支架,既可术后1个月完成血管内皮化,又能避免“术中即刻病变处内膜撕裂夹层、术后迟发弹性回缩再狭窄”的发生;既安全解除“冠脉风险”,又大幅缩短此类患者肿瘤手术的等待时间,不至于使部分病人因等待而错过肿瘤手术治疗的最佳时机。

京公网安备 11011102001431号
