星城心内科又添新利器——震波球囊:钙化病变的克星
近日,北京燕化医院星城院区心内科介入团队在总院心内科李钢主任、星城心内科王志勇副主任的带领下,应用最新的Shockwave震波球囊技术成功为一例重度冠脉钙化病变患者植入支架,该手术的成功开展,标志着星城心内科在治疗复杂冠脉钙化病变方面取得新突破,为冠脉钙化介入治疗再添新的利器。

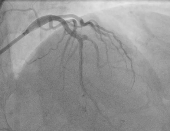
患者王老太,今年72岁,因反复胸闷、胸痛到星城医院心内科就诊,住院后,行冠脉造影检查发现老太太心脏三根血管均有病变,其中右冠状动脉完全闭塞,左前降支严重钙化、迂曲并重度狭窄,考虑到患者年龄大,并伴有高血压、糖尿病等基础性疾病,而且血管钙化病变非常严重,如果是行常规介入治疗,支架恐怕难以通过,强行送入支架容易引起支架脱载、血管破裂等严重的并发症。
总院心内科李钢主任、星城心内科王志勇副主任带领介入团队,根据患者的实际血管情况,经与患者及家属充分沟通后,决定使用目前国内最前沿的技术——Shockwave震波球囊技术通过钙化病变后再行支架植入,团队随后立即制定了详细手术方案及应急预案。
消毒、穿刺、送入导管,按照制定的程序一步步紧张而有序地进行,通过检查发现,老太太左前降支血管存在360度钙化,使用震波球囊对钙化病变多次治疗,钙化环充分断裂,经球囊扩张效果明显,随后,顺利植入支架。原本被“石头”堵塞的血管重新被扩张,恢复了血流,王老太的“心头”难题得以解决。


专业科普
Shockwave震波球囊技术是目前冠状动脉钙化病变治疗的另一项全新技术——通过球囊导管将特定频率的脉冲式冲击波定向输送至钙化部位,利用间歇脉冲的机械能释放,以局部高效的震荡形式,对血管内的钙化结构进行“敲打”,在避免对血管损伤的同时,针对性地破坏血管内膜上和血管壁的深层钙化病变,从而明显改善血管的顺应性,安全性较高,同时可以缩减手术时间,降低风险。
撰稿:星城心内科王志勇

京公网安备 11011102001431号
