北京燕化医院成功切除一例巨大“腹膜后嗜铬细胞瘤”
近日,我院普外科完成一例高难度“巨大腹膜后嗜铬细胞瘤切除术”,肿瘤离体标本大小20×15cm。
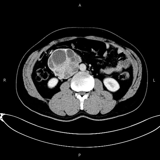
患者张某,男,44岁,主因“发现腹膜后肿物两周”入院。CT显示:右侧腹膜后团块灶囊性部分未见强化,实性部分及囊壁、分隔可见明显强化。最大截面约20×15cm,形态欠规则,边界清晰,其内见分隔影,邻近下腔静脉受压显示不清。

全麻下行腹膜后肿物切除术,术中发现腹膜后肿瘤位于十二指肠水平部下方,下腔静脉前方。于肿瘤顶部打开后腹膜,游离保护十二指肠,逐层分离至肿瘤表面,肿瘤约15×20cm,包膜完整,分离肿瘤过程中患者血压波动大,稍刺激肿瘤血压最高达240/110mmHg,最低达70/40 mmHg,患者术前无高血压病史,结合术中情况判断为异位嗜铬细胞瘤。
嗜铬细胞瘤功能性强(分泌儿茶酚胺),手术风险高,需要术前充分控制血压及液体扩容治疗,若继续分离肿瘤患者可能出现生命危险。贾振庚教授、陈安良主任及手术团队果断停止手术,向患者家属交代病情并征得同意,回病房后按嗜铬细胞瘤准备,择日再行手术。
期间普外科与心内科、泌尿科、麻醉科、重症医学科等科室专家会诊,制定再次手术前的治疗方案。经积极术前准备和相关治疗8天,患者血压脉搏平稳,我们遂决定再次手术。

再次全麻下行腹膜后肿物切除术;手术历时3小时,过程复杂,难度高,经过贾振庚教授、陈安良主任等手术团队的精细操作以及麻醉科费宏亮主任和护理团队的通力合作,完整切除肿瘤,手术顺利完成。目前患者已康复出院。
异位嗜铬细胞瘤属于少见病例,手术风险性高,手术难度大,对手术医生的专业知识、技术水平、体力及意志力均是极大考验。这一病例是我院普外科对腹膜后肿瘤诊治的一次重大突破。
———————————————————————————
【疾病常识】嗜铬细胞瘤90%见于肾上腺髓质;其它含有嗜铬细胞的组织也有可能发生嗜铬细胞肿瘤,从颈动脉体到盆腔均可,如腹主动脉两侧,肠系膜下静脉、膀胱等部位,称异位嗜铬细胞瘤,约占10%。
嗜铬细胞瘤因具有分泌儿茶酚胺功能,作用于肾上腺素能受体,引起以高血压及代谢紊乱为主的综合征候群,严重时并发高血压危象、休克、颅内出血、心力衰竭、心室纤颤、心肌梗死。如果术前准备不充分,手术死亡率达50%,危险性极大。
作者:何永健

京公网安备 11011102001431号
