首页
>> >> >
再赢一场!他在手术间里和死神搏杀
衣食住行,是我们日常生活的最基本需求,享受美食,本是一件令人愉悦的事。但这件事却让51岁的孙叔叔痛苦不堪。
十多天前,他突感咽喉疼痛,不能顺利吞咽食物,遂来北京燕化医院消化科就诊。行胃镜检查,发现食管下段近贲门处占位性病变,长度约9厘米,怀疑恶性,取活检送病理检查,同时在胃周、右肺、气管等多处发现淋巴结。经详细检查后确诊为食管鳞状细胞癌。

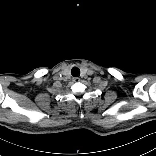
术后残余食管

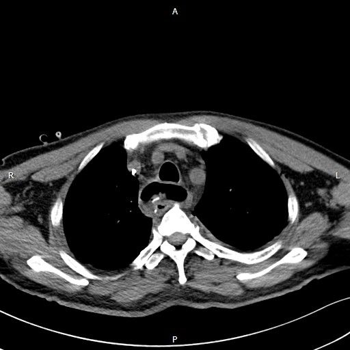
术后胸腔胃
入院后,李简教授与胸外科团队为孙叔叔制定了详尽的手术治疗方案,决定通过“切除癌变食管,让胃‘上位’”的方法实施手术。
11月6日,手术在全麻状态下进行。患者采取侧卧位,从左侧腋下开口约10厘米。李简教授在助手协同下,成功切除食管肿物,提拉胃部,将食管上部与胃进行充分吻合,并将肿瘤及周围淋巴结一一清除,有效降低食管癌术后并发症。手术涉及腹、胸、颈3个部位,历时5个小时,出血量100ml。术后3天患者已能下床活动,目前,孙叔叔恢复情况良好,可进流食。

据李简教授介绍,食管癌是最具有中国特色的癌症,每年平均约15万人死于食管癌,如果感觉吞咽困难,或有异物感等异样情况,应尽早到医院进行检查,积极治疗。
阅读数:

京公网安备 11011102001431号
