科室合作,燕医首例
运用小肠减压管为晚期肿瘤患者实施肠梗阻球囊扩张术
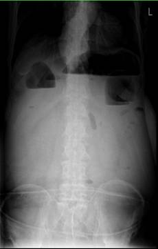
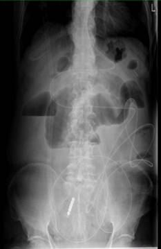
肠梗阻,顾名思义,任何原因引起的肠内容物不能正常运行,不能顺利通过肠道统称为肠梗阻,常发生于小肠,是常见的外科急腹症之一。当梗阻发生后,不仅肠内容物通过不畅,而且局部血液循环也受到障碍,表现为腹痛、腹胀、呕吐、休克、排便及排气停止等症状,如果治疗不及时,甚至引发死亡。 李大爷患结肠癌多年,手术化疗后,病情趋于平稳,不料3个月前,肿瘤复发竟导致多部位小肠梗阻,腹胀腹痛,剧烈难忍,不能正常进食排便,可难坏了李大爷,先后辗转良乡、北京协和等多家医院,持续胃肠减压,频繁灌肠,都没有解决问题。 1月13日,李大爷在家人的陪同下,抱着试试看的态度来到了我院肿瘤科。完善相关检查后,为了寻求最佳的治疗方法,肿瘤科主任范宇飞邀请多学科会诊。经专家们共同讨论,考虑到李大爷是肿瘤晚期造成的多部位肠梗阻,已不能手术,只能减轻患者痛苦,尽力延长患者生命,提高生存质量。 在经过李大爷及家属的同意后,决定于15日由外科专家在导管室运用小肠减压管,为李大爷实施经鼻插入型肠梗阻导管的置入术。置入过程顺利,用时20分钟,当天即引流出5000毫升肠液,腹胀迅速缓解,次日腹围由108厘米减少至85厘米。看着恢复平静的肚子,李大爷露出久违的笑容,他激动地说:“终于能睡个安稳觉了。” 治疗前 治疗后 通过治疗前后对比,此技术可使肠梗阻明显减轻或者消失,腹痛缓解或者消失,肠腔扩张或者积气积液消失,90%以上可以临床治愈。 经鼻插入型小肠梗阻套管的置入术,是目前我院第一例用于治疗多部位肠梗阻的技术,该技术明显减轻了腹腔压力,减少了患者的痛苦,提高了生活质量,尤其是,该技术可以使患者自72小时起可进少量流食,并逐渐加量(少食多餐),以逐步恢复全肠内营养。 延伸阅读 经鼻插入型小肠梗阻套管,又称小肠减压管,如图。 分为单气囊型和双气囊型,前者操作简单,后者可对小肠进行选择性造影。导管全长3米。导管的一个基本重要构造就是有了诱导子或称前导子,起到重锤作用,使导管通过幽门变得容易。前导子由六个小钢球连接构成,富于柔软性,即使遇到肠弯曲和皱襞也容易滑脱。前导子的后方设置前端侧孔,可对球索前的肠肛门側内容物进行吸引排除:球索后方管身上设置了多个 吸引侧孔,可吸引球囊后側的肠内容物。 操作示意图1:首先将导管经鼻插入胃内。 操作示意图2:在X线引导下将导管插入十二指肠水平段以远,然后充盈前部球囊,导管可自动蠕动到肠梗阻部位进行减压。 科室及专家介绍 肿瘤科严格遵循综合治疗的原则,适时适度的运用手术、化疗、放疗、靶向治疗、物理、中医等各种手段,力求提高各种肿瘤的治疗率,延长生存期,提高生活质量。 医疗特色: 1、传统模式:传统肿瘤治疗为手术、放射治疗和化学药物治疗。 2、物理治疗:应用射频消融、局部热疗、微波治疗等,消灭肿瘤细胞。 3、靶向治疗:分为生物靶向、化学靶向和物理靶向(高强度超声聚焦治疗及热疗);生物靶向治疗有基因药物、抗肿瘤血管生成等药物、溶瘤病毒等治疗。 4、内分泌治疗:部分乳腺癌、前列腺癌、妇科肿瘤通过内分泌治疗,可获得显著疗效。 5、微创介入治疗:主要应用于失去外科手术机会的肝癌、肺癌、头颈部恶性肿瘤、胃癌、胰腺癌、盆腔癌、四肢恶性肿瘤等。 6、中医、中药治疗:应用我国传统的中医、中药治疗,提高患者机体免疫力,扶正祛邪,辅助患者防化学治疗。 7、姑息宁养治疗:对于恶性肿瘤终末期患者予以止痛、营养、心理治疗等,以减轻患者痛苦,提高生存质量。尤其对于晚期肿瘤失去肿瘤治疗机会的患者,正确的营养支持治疗可以提高患者自身免疫力,来与肿瘤相对抗,带瘤生存。 肿瘤科主任,肿瘤内科硕士,从事肿瘤内科工作近20年,曾于白求恩国际和平医院肿瘤科进修,擅长对中晚期恶性肿瘤放疗、化疗、基因靶向治疗等综合治疗,擅长癌症三阶梯止痛治疗、晚期恶性肿瘤并发症的诊治。 出诊时间:星期一(上午)、星期四(上午)







京公网安备 11011102001431号
