肿瘤出血找介入,微创高效不耽误
——肿瘤微创介入科成功为膀胱癌出血患者实施介入止血
2017年5月份,年逾古稀的张老先生在一次小便时,发现尿液呈红色,就像洗过肉的水一样,当时没太在意,没成想,在之后的一段时间,这种现象愈加频繁,张老先生感觉情况不妙,遂告知了家人。家里人赶紧带他到当地医院检查,结果被确诊为膀胱癌晚期。尿血正是由膀胱癌表面坏死出血所致,经过膀胱镜电切治疗后,肿瘤虽然没法完全切除,但出血消失,张老先生的生活又恢复了正常。
然而好景不长,一个多月前,张老先生再次出现血尿,而且这次更加严重,尿液颜色越来越红,有时还尿出很多血块,甚至造成尿道堵塞。

看起来像个血液袋的尿液引流袋
张老先生被家人送进了北京燕化医院泌尿外科,经过药物止血及膀胱灌洗之后出血仍没有停止,血色素逐步下降到80g/L,而正常情况下血色素应该是120-160 g/L,张老先生出现了乏力、头晕等贫血症状。

10月13日下午,泌尿外科郝锦波主任查看病情后,认为如果出血不止,短期内张老先生可能会有生命危险,但老先生的病情又不适合再次手术,于是,郝主任决定向兄弟科室寻求支援,同时,向医务部张惠颖主任反映了这个情况后,两人不约而同想到了医院刚成立的肿瘤微创介入科,于是立即给陈力强主任打电话,说明了张老先生的病情。
当时正在参加北京地区学术交流活动的介入科陈力强主任和赵庆和主任,一听病人情况紧急,二话没说就赶回单位。同时,心内科导管室刘淑君护士长也已得到消息,提前安排好人员加班配合治疗。
陈力强和赵庆和主任一到医院,详细了解病情并和家属沟通后,决定立即为张老先生行急诊介入手术止血。
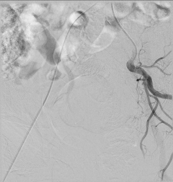
套上厚重的铅衣,站在明亮的无影灯下,两位主任开始了紧张而又有条不紊的介入手术。将一根1毫米粗的穿刺针穿刺入股动脉后,依次送入血管鞘、导丝、导管,再通过导管造影,膀胱癌就原形毕露了,肿瘤的供血动脉也清晰可见。

在透视镜的辅助下,将一根更细的微导管送入到肿瘤的供血动脉后,通过微导管将血管栓塞剂注入肿瘤供血动脉,再次造影,显示:膀胱癌的肿瘤染色已经完全消失不见。

这也就意味着膀胱癌的供血基本没有了,尿血症状也就能够得到控制。
果然,此后张老先生尿血的情况越来越少,最终出血停止,尿液完全变成黄色。

血色素也逐渐恢复到103g/L。

同时,乏力、头晕等贫血症状也消失了,家人也是感激万分。经过一段时间的恢复,张老先生顺利出院。尿血问题得到顺利解决,老先生的生活质量大大提高。
肿瘤微创介入科的陈力强主任介绍,除了膀胱癌出血外,介入治疗对各种原因所致的消化道出血、咯血、肝脾肾破裂出血、妇科及产后出血均有非常好的效果,造影找到出血血管后将其栓堵上,立刻就能止血,而且创伤非常小,皮肤上只有一个小针眼,更重要的是避免了传统手术切除所带来的器官缺失,保您一健全身体。正所谓:有出血,找介入,微创高效不耽误!

京公网安备 11011102001431号
