动脉狭窄下肢痛,介入治疗来疏通
十月的北京,天高气爽、硕果累累、层林尽染,是最美的时节,人们闲暇之时纷纷走出家门,远足、登高、采摘、赏红叶,尽享大自然的馈赠。可是美景在前,家住房山矿机的周大妈却“足不出户”,空负大好时光。这又是为什么呢?
原来周大妈常年患有高血压、糖尿病,近几年开始出现左腿疼痛、无力,活动后加重,休息之后稍微缓解。去年左腿疼痛加重,周大妈到家附近的区第一医院就诊,经检查得知,周大妈左腿疼痛,是因为左下肢动脉狭窄造成下肢缺血,从而引发疼痛、无力,建议进行介入治疗。由于动脉狭窄段较长,且跨越膝关节,放置支架有一定难度,所以医生给她做了单纯的球囊扩张狭窄动脉,周大妈腿疼的症状明显改善。
然而,好景不长,半年之后再次出现下肢疼痛、乏力,到今年秋天愈发严重了。周大妈和家人怀疑,可能左腿的动脉又出现狭窄的情况了,决定还是找一个技术力量更强的医院放个支架来解决这个问题。
经多方打听,周大妈和家人找到了北京燕化医院肿瘤微创介入科陈力强主任和赵庆和主任。经过动脉CTA检查,两位主任发现周大妈双侧股动脉都有狭窄,其中以左侧更明显,狭窄段有11厘米长,部分狭窄段已达膝关节,严重部位基本闭塞了。经过和周大妈及家人协商,虽然双侧股动脉都有狭窄,但目前左下肢症状明显,这次就先在左侧股动脉放置支架。

考虑到动脉狭窄段已达膝关节,支架置入后,膝关节大幅度的动作可能会导致支架断裂,从而带来一系列问题,这也是第一次介入治疗没有放支架原因所在。为此,两位主任经过周密设计,制定了最适合周大妈的治疗方案,并预订了具有柔韧性更好和活动度更大的、专用于关节部位血管支架,从而有效解决了关节放置支架的难题。
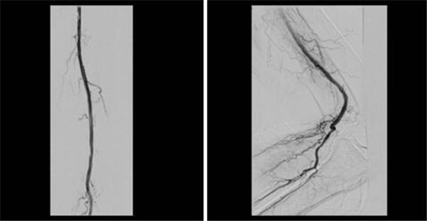
介入治疗按计划如期进行,动脉造影果然如CTA所示:双侧股动脉都有狭窄,尤其以左侧明显,多处狭窄从股动脉延续到腘动脉,周边可见侧枝循环形成,如图~

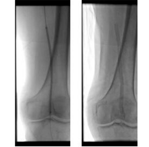
两位主任先用球囊扩张左侧股动脉狭窄段,再置入15厘米长的金属支架,上下端都超过狭窄段,如图~

支架置入后再造影,可见血液顺畅通过,也不影响膝关节弯曲活动,如图~

术后次日,周大妈就下地活动,左腿疼痛、乏力的症状也随之消失。三天后周大妈就顺利出院,现在周大妈的生活基本恢复正常,出去串门、买菜都不成问题了。
肿瘤微创介入科赵庆和主任介绍,冠心病、高血压、糖尿病患者往往合并动脉粥样硬化,时间长了可能导致动脉狭窄,甚至闭塞。当不同器官的动脉出现狭窄和堵塞时就会出现不同症状↓↓↓
1、四肢动脉狭窄及闭塞可出现肢体疼痛、乏力。
2、锁骨下动脉、颈动脉、椎动脉狭窄及闭塞可出现头晕眼花等脑供血不足表现。
3、肾动脉狭窄及闭塞可出现高血压、肾功能不全。
4、颅内动脉狭窄及闭塞可出现肢体活动障碍、言语障碍、意识障碍等脑梗塞表现。
5、冠状动脉出现狭窄及闭塞时会出现胸闷、心前区疼痛等心梗症状。
这些症状,轻则带来痛苦,影响生活,重则有生命危险。介入治疗通过插管到病变动脉造影,可以非常清楚地发现狭窄及闭塞血管,通过球囊扩张及支架置入,可以再次打通动脉,恢复动脉供血,而创口仅仅只有一个针眼大小,术后第二天就能下地活动。
北京燕化医院肿瘤微创介入科是华医英诺医生集团和北京燕化医院共同组建,依托国内知名专家,在外周血管介入治疗方面经验丰富、技术力量雄厚,是您明智之选!
撰稿:微创介入科陈力强

京公网安备 11011102001431号
