微创介入不开刀,“饿死”肿瘤保子宫
我院微创介入科完成一例子宫动脉栓塞术
日前,北京燕化医院微创介入科为一名中年女性实施子宫动脉栓塞术,成功“饿死”子宫肌瘤,保住了患者的子宫。
患者王女士(化名)患有子宫肌瘤2年多,由于已婚已育,并且发现是良性,便没有在意,谁知子宫肌瘤却在不断变大,并且每次月经很多,还伴有尿频的症状。为此,王女士颇为烦恼。遂就诊于北京燕化医院。经核磁检查,显示为子宫前壁巨大子宫肌瘤。


上图中,红色箭头所指为子宫前壁巨大子宫肌瘤,绿色箭头所指为子宫,黄色箭头所指为被子宫肌瘤压迫的膀胱。
子宫肌瘤,是最常见的妇科良性肿瘤,被称为“妇女第一瘤”,好发于30-50岁的生育期妇女。多发、较大的子宫肌瘤会造成经血过多、贫血、经期疼痛,子宫肌瘤不断增大,就会压迫膀胱,从而引起尿频,甚至会影响生育功能。
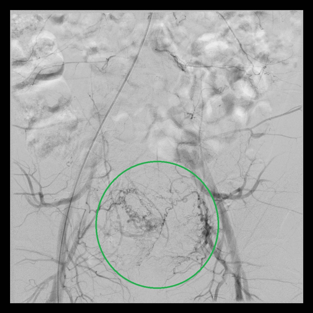
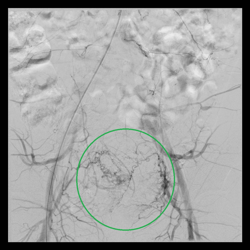
后经腹部主动脉造影显示,子宫双侧的子宫动脉均有增粗、迂曲的情况(下图中红色箭头所示),子宫和子宫肌瘤也均有所增大(下图中绿圈所示)


![]()
对于子宫肌瘤,其治疗方法有多种,传统的治疗方法是采用子宫切除术、肌瘤剔除术。而随着介入治疗技术的发展,现在可以不用开刀、不用切除子宫,而采用子宫动脉栓塞的方法,就可以在保住子宫,同时,使子宫肌瘤消失,尤其适合于年轻的或有生育要求的女性。
子宫动脉栓塞术只需要在股动脉穿刺一个米粒大小的口子,然后通过血管鞘把导管送至子宫动脉,利用栓塞药物把子宫动脉堵住即可。


子宫动脉栓塞(被堵住)后,子宫肌瘤就不能够获取到足够的“养分”,从而因缺血缺氧导致坏死,肌瘤体积逐渐萎缩,子宫肌瘤被“饿死”后,或被机体慢慢吸收,或直接脱落。
北京燕化医院微创介入科专家成功为王女士实施了双侧子宫动脉栓塞术。术中,患者无其他不适,术后安返病房,术后创伤非常小,只有米粒大的伤口,甚至不用消毒,至多贴个创口贴,术后次日便可下地正常活动。
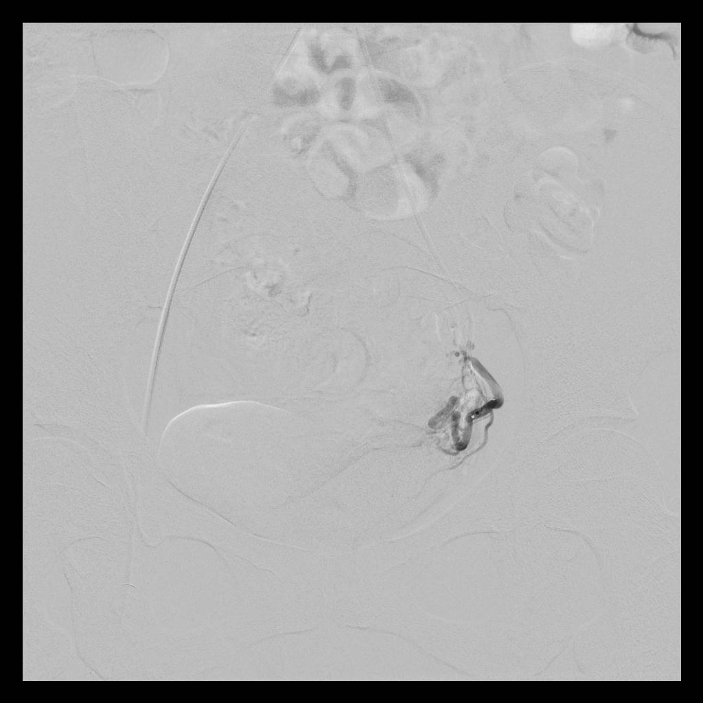
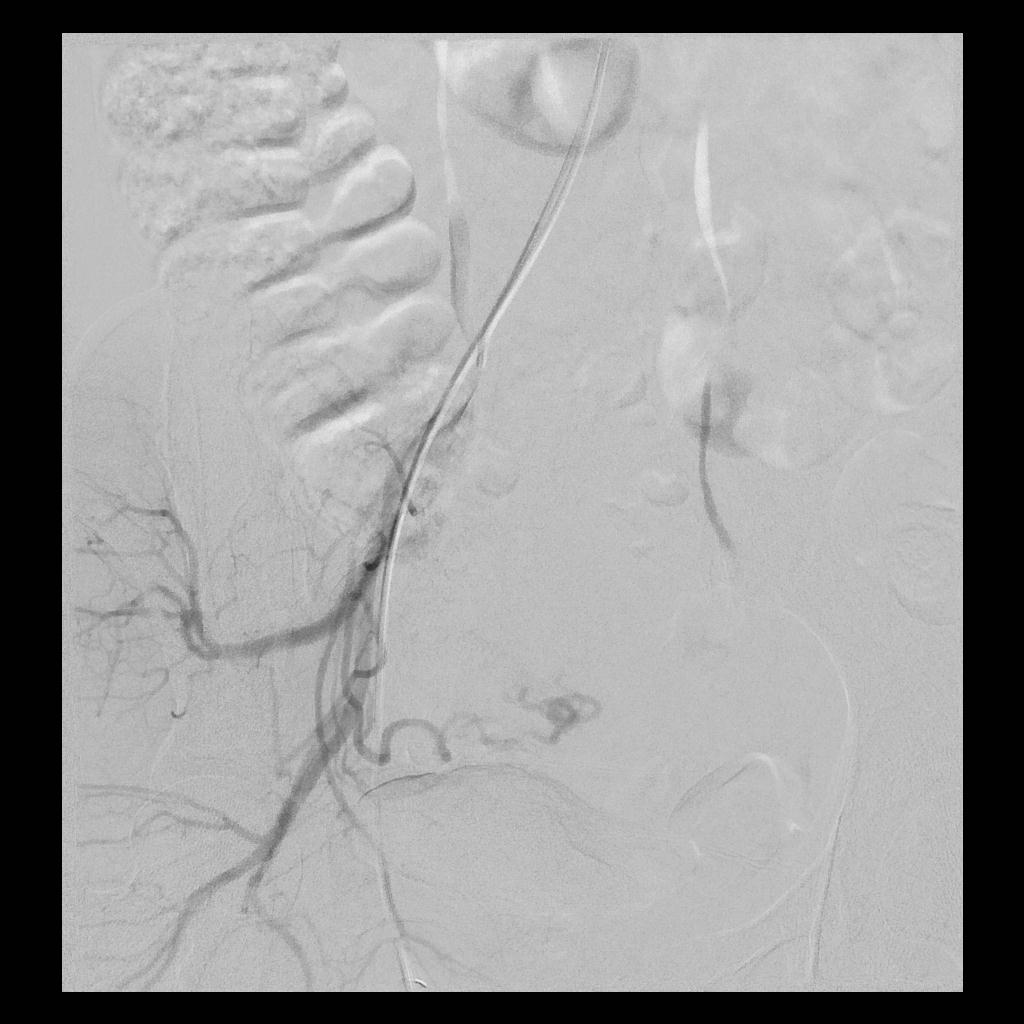
术后,经子宫动脉造影显示:之前增粗、迂曲、供血丰富的子宫动脉,经栓塞术后,血流基本停滞;之前增大的子宫和子宫肌瘤,经栓塞术后,其造影染色也已消失。


(左侧子宫动脉造影:术前、术后)


(右侧子宫动脉造影:术前、术后)
说到这里,您肯定又要担心了,子宫动脉栓塞后,会不会对子宫产生影响呢?
相对来说,正常的子宫组织能够耐受缺血缺氧,同时由于子宫有丰富的侧枝循环,可以在较短时间内建立新的血供,因此子宫动脉栓塞术不会影响子宫的血氧循环。这样一来,子宫肌瘤得到了治疗,患者症状得以好转,还保住了子宫。
作为微创、安全、有效的治疗方法,以子宫动脉栓塞为代表的介入治疗已经为广大的妇产科医务人员和患者所接受,未来,也将在妇产科疾病治疗中发挥更大作用。

京公网安备 11011102001431号
