我院完成首例TIPS联合肝动脉栓塞化疗术
【案例】
患者老年男性,半年前出现呕血、黑便,诊断肝硬化失代偿期、食管胃底静脉曲张破裂出血,在北京市内某著名三甲医院国家消化中心行内镜下组织胶及套扎治疗,此次入住我院进行复查。
胃镜检查显示:食管多条静脉曲张(下图红箭头所示),胃底静脉曲张伴糜烂渗血(下图绿箭头所示)


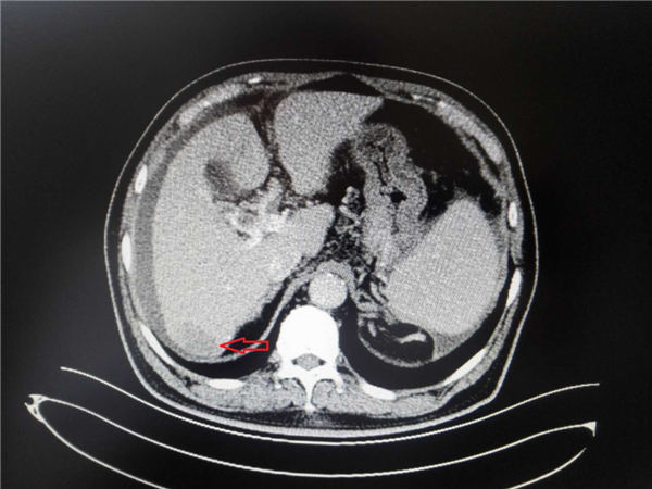
经CT检查显示:肝右后叶占位性病变,结合AFP增高,考虑原发性肝癌(红箭头所示),门静脉内大范围血栓形成(绿箭头所示)


经检查诊断后,考虑患者内镜下食管胃底静脉曲张治疗后复发,有再次出血风险,合并门脉内大范围血栓,不宜再次内镜下治疗,同时发现肝内占位性病变,考虑原发性肝癌。由于患者年老体弱,已经不适合外科手术治疗,但病情严重,迫切需要治疗,而食管胃底静脉曲张和原发性肝癌同时存在,治疗难度比较大。
北京燕化医院肿瘤微创介入科陈力强主任、赵庆和主任了解病情后,和消化科崔立主任、张艳娟医生及家属多次沟通,同时也请院外专家多方会诊,决定为老人行经颈内静脉肝内门腔静脉支架置入分流术(TIPS),以缓解门脉高压、食管胃底静脉曲张,同时行肝动脉栓塞化疗(TACE),以控制肝癌的进一步发展。
经过周密的准备计划,成功为老人实施了从颈内静脉插管到肝静脉穿刺门静脉。后经门静脉造影,可见:门脉增粗,食管胃底静脉曲张(如下图,绿色箭头为门脉主干、黄色箭头为门脉内血栓、红色箭头为连接食管胃底静脉曲张的胃冠状静脉,弹簧圈栓塞胃冠状静脉栓塞)。

再利用球囊扩张,进行肝内穿刺道(如下图,红箭头所示为穿刺道压迹)。

置入支架(红色箭头之间)后造影,显示:门脉血液经支架回心,胃冠状静脉不显影。

TIPS完成后,再行肝癌栓塞化疗。肝动脉造影发现肝内肿瘤染色(如下图红圈所示)。

继而,找到肿瘤供血动脉,并行栓塞化疗。

栓塞后,经肝动脉造影,显示:肿瘤染色消失。

以上方法系介入治疗,仅需进行局部麻醉、穿刺两个针眼,术后卧床1天,次日便可正常下地活动,也不影响正常进食,迅速恢复。不过患者肝癌动脉供血不是很丰富,单纯行肝动脉栓塞化疗效果可能欠佳,待此次病情恢复后,序贯肝癌射频消融治疗,可取得更好效果。
【科普时间】
肝硬化门静脉高压症介入治疗小知识
对已经发展成肝硬化,特别是中晚期肝硬化的患者来说,治疗的重点主要是针对并发症的治疗,比如食管胃底静脉曲张出血、腹水、脾功能亢进、肝性脑病、肝肾综合症,其次就是肝癌的早发现、早诊治。对我们介入工作者来说,门静脉高压症引起的食管胃底静脉曲张、脾亢、腹水以及肝癌的介入治疗都是日常重要工作。其中食管胃底静脉曲张破裂出血是临床常见危急重症、是肝硬化患者主要死因,也是我们介入治疗重点攻克的难题。
门脉高压症所致食管胃底静脉曲张破裂出血就好像发洪水,河流上流不断来水,而如果下流河道堵塞不同,就会造成水位越来越高、压力越来越高,最终洪水冲破河堤引发水灾。来源于脾脏和肠道的血流汇入肝脏门静脉,肝硬化患者门静脉血流不畅造成门静脉高压、血液经侧枝循环回流心脏,食管胃底静脉曲张就是侧枝循环的一支,当门脉内压力增高到一定程度时,就会引起食管胃底静脉曲张破裂,导致呕血、便血,甚至造成失血性休克、死亡。
我国先民在多年和洪水的斗争中总结出丰富的经验,主要有几类方法,一是堵塞:通过加固河道、堵塞决堤口防治水灾;二是疏通、分洪:通过疏通河道,增加河流排水能力,或者把洪水引往他处,这就好像大禹治水,传说先后挖了九条大河,才把洪水排走;三是限流:在河流上游修建水库,减少洪水下泄,三峡大坝主要功能就是如此,拦截上游洪水,减少长江中下游洪水。
而介入治疗食管胃底静脉曲张类似于抗洪,也主要是这三种方法,一是断流:直接把出血血管阻断或者堵塞,达到止血目的,比如经皮肝穿胃冠状静脉栓塞、BRTO、内镜下食管胃底静脉曲张硬化剂治疗、内镜下食管静脉曲张套扎治疗;二是分流:在肝静脉和门静脉之间放置支架,将门脉血流通过支架直接引回心脏,达到降低门脉压力控制出血,这就是经颈内静脉肝内门腔静脉支架置入分流术(TIPS),也是我们今天要介绍的内容;三是限流:如之前介绍的部分脾动脉栓塞,脾脏部分栓塞后脾供血减少,汇入门静脉血液减少,门静脉压力下降,食管胃底静脉曲张也能得到一定缓解。
经颈内静脉肝内门腔静脉支架置入分流术(TIPSS)原理
正常门静脉血流进入肝脏后,经过毛细血管网,汇合成肝静脉最终回流心脏,而肝硬化患者肝内毛细血管网紊乱、受压,血液回流不畅,造成门静脉高压,继而形成食管胃底静脉曲张,当压力超过一定程度时,曲张静脉就容易破裂出血。TIPS术原理是通过穿刺颈内静脉后插管,经上腔静脉、右心房、下腔静脉选择到肝静脉,在肝脏内从肝静脉向门静脉穿刺,并用球囊扩张在肝内建立隧道,最后在隧道内置入支架,这样门静脉血流直接经支架流入肝静脉并回流心脏,最终门脉压力下降、食管胃底静脉曲张减轻,出血得到控制。
肝硬化门脉高压,食管胃底静脉曲张,出血风险高。
TIPS术后,门脉血液直接经支架回心,压力下降,静脉曲张减轻。
当然,TIPS也不是适合所有食管胃底静脉曲张患者,对肝功能太差、凝血功能欠佳、心功能不好、有肝性脑病的患者不建议治疗,而且TIPS术后需要长期抗凝,预防支架内血栓形成、支架堵塞,为了预防术后肝性脑病,初期需要控制高蛋白饮食。
撰稿:微创介入科陈力强

京公网安备 11011102001431号
