首页
>> >> >>
人工关节置换手术
人工关节置换术是指采用金属、高分子聚乙烯、陶瓷等材料,根据人体关节的形态、构造及功能制成人工关节假体,通过外科技术植入人体内,代替患病关节功能,达到缓解关节疼痛,恢复关节功能的目的。目前,膝关节置换和髋关节置换是人工关节置换术中最常见的两类手术,更有80%以上的患者可以正常使用植入的假体长达20年以上,甚至伴随其终生。

图1.双侧股骨头缺血性坏死

图2.双髋关节一次性置换术后

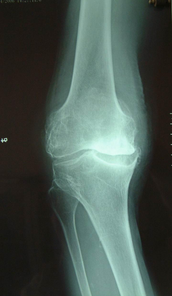
图3.膝关节重度骨关节炎

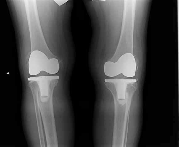
图4.人工膝关节置换手术治疗重度膝关节骨性术后
医疗团队

京公网安备 11011102001431号
