北京燕化医院微创介入治疗老年前列腺疾病
家住燕山东风地区的刘大爷已年近90岁高龄,却被前列腺增生困扰多年,最初一直靠药物治疗维持,但随着年龄的增长,身体机能的衰退,前列腺增生的症状愈加严重,出现排尿困难,尿不净等症状,每天晚上都要起夜好几次,甚至药物都不起作用,给刘大爷的生活造成了不少困扰。
更加痛苦的是,两个月前,刘大爷突然出现了尿潴留,也就是排不出尿了,为了能够排尿,不得不给刘大爷插上导尿管排尿。可是,老带着尿管实在是太不方便了,严重影响了刘大爷的生活。
于是,家人决定将刘大爷送医院根治,想通过手术为刘大爷治疗前列腺增生,经市内某院外科医生会诊后,考虑到刘大爷年龄较大、身体条件不好,担心老人无法耐受手术,提出需要先调理身体,待身体条件能够耐受手术后再考虑手术治疗。
就这样,老先生一直戴着尿管在医院调理身体,可是一个多月过去了,身体仍未见好转,手术更是遥遥无期,不仅无法缓解老人的病痛,更是给家庭带来了经济负担。
无奈之下,家人开始打听还有什么法子能够治疗此病,了解到最新的微创介入技术也可以治疗前列腺增生,且微创介入治疗创伤小,对患者身体条件要求也不高,对耐受不了手术或者不愿手术的人来说,是个不错的选择。于是打听到离家最近的北京燕化医院肿瘤微创介入科就有这方面的专家,于是,家人便带着刘大爷来到了北京燕化医院。
介入科陈力强主任会诊之后,觉得老先生虽有一些老年病,但耐受局部麻醉和介入治疗完全没有问题,遂决定给他做前列腺动脉栓塞术。
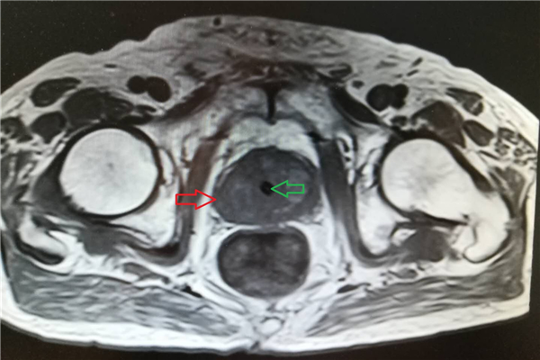
经过术前核磁,可明显看到增大的前列腺(如下图红色箭头所指,黄色箭头所指为膀胱,绿色箭头所指为尿道)


后经左侧前列腺动脉插入微导管造影,可见迂曲的动脉(如下图),这给手术增加了一定难度。

下图中,红色箭头所指为前列腺动脉,绿色箭头所指阴影部位为增生的左侧前列腺染色。

陈主任对老人的左侧前列腺动脉进行栓塞,阻断了对增生部位的供血,再次造影显示,前列腺动脉和前列腺染色均消失(如下图)。

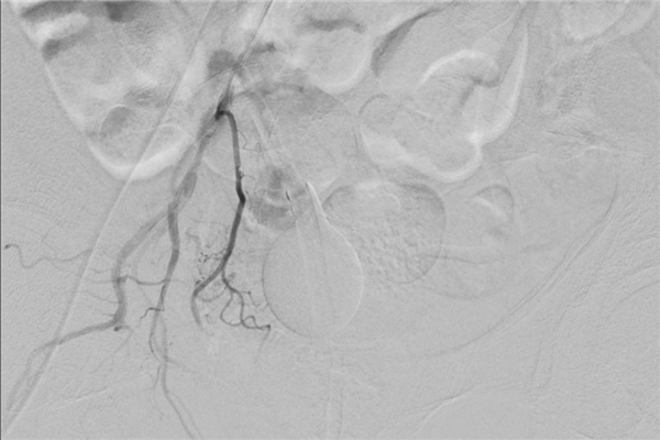
随后,再对右侧前列腺动脉进行插管造影可见右侧前列腺动脉(红色箭头所指)及其染色(绿色箭头所指)。


对右侧前列腺动脉进行栓塞后,再次造影显示,右侧前列腺动脉分支和前列腺染色均消失(如下图)。

一个小时左右,便解决了刘大爷多年的痛苦,而且,创伤小,仅腹股沟遗留一个穿刺针眼,第二天就基本愈合。刘大爷卧床一天后也可以下地活动了,他高兴地说道:“真没想到,整个手术过程没觉得疼,还这么快就能下地活动,真是太好了”。
当术后拔除尿管的时候,刘大爷和家人还有点忐忑不安,怕尿管拔了之后还是尿不出来。可是次日再见刘大爷时,老人一改多日愁容,笑容满面的告诉陈主任:“拔完尿管之后,尿得可痛快了,好像一下子年轻了几十岁,晚上也不用再频繁起来排尿,介入治疗可给我解决大问题了,我今天就要出院!”
这真是,前列腺的伤、男人的痛,介入治疗来疏通。北京燕化医院为老年男性患者前列腺疾病的治疗又增加了新的治疗途径。
【科普时间】
随着老龄化的日益加剧,很多老年病的发生给老年人的生活带来不少困扰,今天就来说说令很多中老年朋友苦不堪言的病痛——前列腺增生。
起因:前列腺增生是由于上皮和间质细胞增殖和细胞凋亡的平衡遭到破坏而导致的,也有一些其他相关因素,比如:雄激素及其与雌激素的相互作用、前列腺间质与腺上皮细胞的相互作用、生长因子、炎症细胞、神经递质及遗传因素等。近年来也注意到吸烟、肥胖及酗酒、家族史、人种及地理环境对前列腺增生发生的关系。
症状:增生的前列腺增生压迫尿道、膀胱,可出现尿频、尿急、尿失禁、夜尿增多、排尿踌躇、排尿困难、间断排尿、排尿不尽,尿后滴沥等症状,也容易合并泌尿系感染、血尿、尿结石等问题。
治疗手段:
1、药物治疗。对早期症状轻微的前列腺增生,可以随访观察或者药物治疗。
2、手术治疗。随着前列腺的逐渐增大、症状逐渐加重,就必须借助外科手术治疗。经典的外科手术方法有经尿道前列腺电切术、经尿道前列腺切开术以及开放性前列腺摘除术。
3、介入治疗。对于老年患者而言,体质差及其他老年疾病,很多人往往耐受不了麻醉和外科手术治疗,此时,创伤小、恢复快的介入手术—前列腺动脉栓塞术就成为前列腺增生患者的福音。
介入治疗:
前列腺动脉栓塞术只需在腹股沟局部麻醉,通过一个小针眼,将细导管送入股动脉,造影找到前列腺供血动脉,再往前列腺动脉注射栓塞剂,以阻断前列腺的供血。此后缺血的前列腺逐渐萎缩,对尿道和膀胱的压迫减轻,由此带来的症状也就逐渐减轻。整个手术没有太大痛苦、无需全麻、无需开刀,术后第二天就可活动,也不影响进食,对不能耐受和不愿接受手术的患者来说,无疑是良心之选。
撰稿:微创介入科陈立强

京公网安备 11011102001431号
