踏破铁鞋无觅处,得来全不费功夫
北京燕化医院肿瘤微创介入科血管成形术治疗透析血管狭窄
俗话说:有啥也别有病,没啥也别没精神。燕山的张老先生这些年就饱受病痛的折磨,先来看看怎么回事?
多年前,张大爷被诊断为左下肢恶性肿瘤,先后做了十多次手术后,肿瘤仍继续复发,且不断发展恶化,最终,不得不通过手术截去了整个左下肢,肿瘤者才得以控制。
又加上多年的高血压、冠心病、肾功能不全等症,也在近两年逐渐加重,又做了左侧颈动脉支架置入术。2017年初,由于肾功能衰竭,开始进行透析治疗。为了方便透析治疗,做了右前臂动静脉造瘘,刚开始透析还算顺利,但近几个月每次透析时右肩都疼痛难忍,同时透析静脉端压力也增高,需要口服止疼药物才能坚持。家人带着他去了北京多家大型三甲医院就诊,也曾做动脉造影检查,但都未能解决这个问题。
北京燕化医院透析室护士长王蕾了解到张老先生的情况后,向他推荐了医院肿瘤微创介入科,据说介入科之前已经通过介入治疗解决过类似问题。
北京著名的大三甲医院都解决不了的问题,燕化医院能解决吗?
抱着将信将疑的态度,张老先生和家人找到了肿瘤微创介入科。陈力强主任和赵庆和主任在详细听了患者描述的症状后,经过进一步查体发现,张老先生右上肢动静脉瘘静脉端可触及明显血管震颤、可闻及明显血管杂音,考虑静脉存在狭窄的可能,建议行血管造影检查,如果确实有血管狭窄的情况,可以通过球囊扩张或者置入支架进行对症治疗。张老先生和家人一听有可能发现病因,并解决右肩疼痛的问题,决定由北京燕化医院肿瘤微创介入科进行医治。
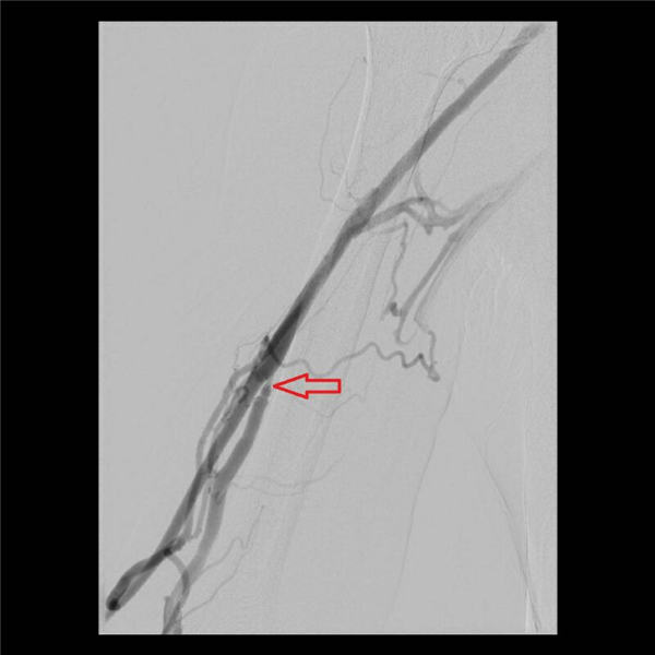
陈力强和赵庆和两位主任经过精心研讨方案,首先通过血管造影,发现右上肢动静脉瘘到上腔静脉共有三处血管明显狭窄(下图红色箭头所示),特别是右锁骨下静脉汇入上腔静脉处更明显,此处血管狭窄造成透析时血液回流障碍、右肩局部血管压力增高,由此引发右肩疼痛。



随后,两位主任通力协作,通过放置球囊扩张的方法,对血管的三处狭窄段分别用球囊扩张后,可见狭窄段部分或者完全扩张(下图红色箭头所示)。



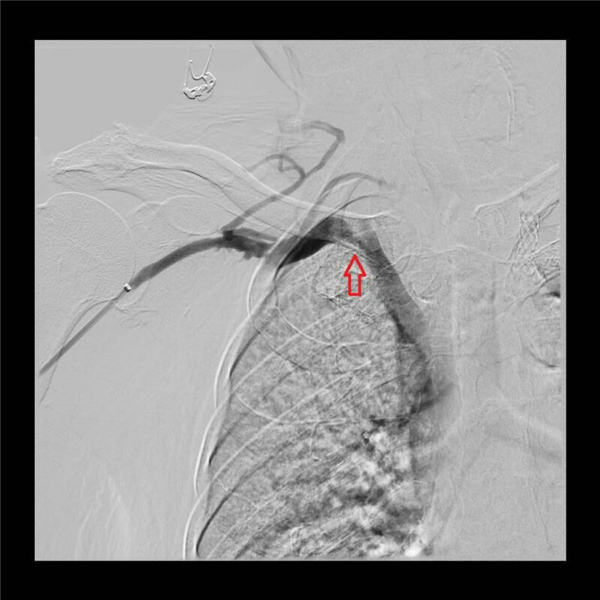
最后,再次造影,发现三处血管狭窄基本消失,血液顺畅回流到上腔静脉(如下图)。



经过治疗,张老先生右上肢血管震颤和血管杂音明显减轻,再次透析时右肩疼痛感完全消失、透析静脉端压力也恢复正常,透析治疗又恢复了正常。张老先生家人说:没想到困扰全家多日、多方求医、在北京著名三甲医院都没能解决的问题,却在家门口的燕化医院瞧好了,真是“踏破铁鞋无觅处,得来全不费功夫”!
撰稿:微创介入科陈力强

京公网安备 11011102001431号
