肝癌早诊早治,切记规范筛查
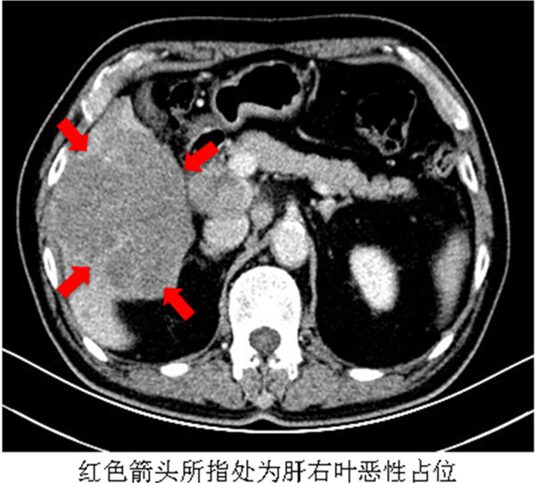
今年2月,66岁的刘先生因乏力、肝区不适就诊于北京燕化医院消化科。门诊完善腹部彩超提示肝脏弥漫性损害,腹膜后多发肿大淋巴结。患者既往乙肝病史20余年,未定期复查。门诊医生判断患者可能存在肝脏恶性肿瘤,于是将刘先生收入院系统诊治。入院后完善肿瘤标志物,发现肝癌标志物甲胎蛋白明显升高。腹盆腔增强CT提示肝右叶下段恶性占位,大小约100×85mm,并肝门及腹膜后淋巴结转移。患者原发性肝癌诊断明确,随后相继行2次肝动脉化疗栓塞术,目前生活质量明显下降且生存期有限。



原发性肝癌是全球三大肿瘤死因之一,死亡率和发生率相仿,平均生存时间从诊断起不到6个月,预后很差。我国是肝癌的高发国家,发病人数占全球肝癌的50%以上,严重威胁人民的健康。我国约80%的肝癌与乙肝病毒(HBV)感染有关。近年来发现丙肝病毒(HCV)感染也与肝癌的发生密切相关。目前尚无有效的保护措施预防HCV感染,从而预防肝癌的发生。因此早期筛查,早诊早治,是肝癌二级预防的有效手段。
1. 具有HBV 和/或HCV 感染;
2. 非酒精性脂肪肝炎;
3. 长期酗酒、食用被黄曲霉毒素污染食物;
4. 各种原因引起的肝硬化;
5. 有肝癌家族史。
二、筛查年龄
男女发病率之比为3:1,女性的发病年龄较男性稍晚。根据各地不同的经济状况,可以考虑对男性35岁或40岁以上,女性45岁或50岁以上的高危对象进行筛查。
三、筛查时间间隔
每隔6个月进行一次筛查。
四、肝癌的筛查项目
1. 肝脏超声检查(US)
这是临床上最常用的肝脏影像学检查方法,具有操作简便、灵活直观、无创便携等特点。可用于对高危人群的筛查。术中超声可以发现小病灶及判断肿瘤与血管的关系。超声导引下穿刺活检可以直接获取组织学诊断。
2. 甲胎蛋白(AFP)
这是当前诊断肝癌常用而又重要的方法。诊断标准:AFP>400ng/mL持续一个月;或AFP>200ng/mL持续二个月,排除妊娠和生殖腺胚胎癌者,高度警惕肝癌,应通过影像学检查确诊。AFP轻度升高者,应作动态观察。约30%的肝癌病人AFP水平正常,检测甲胎蛋白异质体,有助于提高诊断率。
3. 肝脏CT检查
肝癌诊断和鉴别诊断最重要的影像检查方法。用来观察肝癌形态及血供状况、肝癌的检出、定性、分期以及肝癌治疗后复查。腹部平扫价值有限,可用来观察脂肪变、出血和碘油栓塞后沉积情况。增强扫描有诊断价值。
4. 肝脏核磁(MRI)检查
是肝癌影像诊断的有力补充,对脂肪肝、肝硬化背景下的肝癌检出及定性、肝癌介入治疗后肿瘤残留及复发的判断具有优势。MRI 平扫组织分辨率高,可对病变的内部结构进行分析,增强扫描可了解肿瘤的血供情况,平扫与增强扫描结合更有助于肝癌的诊断。
五、肝癌的临床表现
1. 症状:肝区疼痛,食欲减退,消瘦,发热,转移灶(胸水,骨痛),黄疸,伴癌综合征(自发性低血糖)等。
2. 体征:晚期黄疸,肝肿大,血管杂音,门脉高压表现(脾大,腹水)等。
3. 浸润及转移:肝内转移,肝外转移(血行转移,淋巴转移,种植转移)。

如肝癌高危人群出现上述临床表现,建议立即就医系统诊治。如想早诊早治,提高生存时间及生活质量,切记要规范筛查。

京公网安备 11011102001431号
